İltihaplı Bademcik Belirtileri ve Tedavisi
İltihaplı bademcik, bademciklerin enfeksiyon sonucu iltihaplanmasıdır. Genellikle viral veya bakteriyel kaynaklı olur ve belirtileri arasında boğaz ağrısı, yutkunma zorluğu ve yüksek ateş bulunur. Tedavi yöntemleri enfeksiyona bağlı olarak değişir; önleyici tedbirler ise hijyen ve sağlıklı yaşam alışkanlıkları ile sağlanabilir.
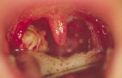
İltihaplı bademcik, tıpta "tonsillit" olarak adlandırılan bir durumdur ve bademciklerin iltihaplanması sonucu ortaya çıkar. Bademcikler, boğazın arka kısmında yer alan ve vücudu enfeksiyonlara karşı koruyan lenfatik dokulardır. Bademcik iltihabı genellikle viral veya bakteriyel enfeksiyonlardan kaynaklanır ve özellikle çocuklarda yaygındır. Bu makalede, iltihaplı bademciklerin belirtileri, tedavi yöntemleri ve önleyici tedbirler hakkında detaylı bilgi verilecektir. İltihaplı Bademcik Belirtileri İltihaplı bademciklerin belirtileri, enfeksiyonun nedenine bağlı olarak değişiklik gösterebilir. Ancak genel olarak aşağıdaki belirtiler gözlemlenmektedir:
Bu belirtiler genellikle enfeksiyonun başlangıcında ortaya çıkar ve zamanla kötüleşebilir. Özellikle çocuklarda, belirtiler daha belirgin ve rahatsız edici olabilir. Tedavi Yöntemleri İltihaplı bademcik tedavisi, enfeksiyonun nedenine bağlı olarak değişir. Tedavi yöntemleri genel olarak şu şekilde sıralanabilir:
Tedavi sürecinde, doktorun önerilerine uyulması ve düzenli kontrollerin yapılması önemlidir. Önleyici Tedbirler İltihaplı bademciklerin önlenmesi, sağlıklı yaşam alışkanlıkları ve hijyen önlemleri ile mümkündür. Aşağıdaki önleyici tedbirler önerilmektedir:
Bu önlemler, bademcik iltihabı riskini azaltmaya yardımcı olabilir. Ayrıca, düzenli sağlık kontrolleri ile olası enfeksiyonların erken teşhisi sağlanabilir. Sonuç olarak, iltihaplı bademcikler, yaygın bir sağlık sorunu olmakla birlikte, uygun tedavi ve önleyici tedbirlerle kontrol altına alınabilir. Belirtiler ortaya çıktığında, bir sağlık profesyoneline başvurmak önemlidir. Unutulmamalıdır ki, erken teşhis ve tedavi, iyileşme sürecini hızlandıracaktır. |






































Yüksek ateş kontrol altına alınamadığında havale riski gerçekten bu kadar yüksek mi? Bebeklerde bu durumun belirtileri nasıl daha fark edilebilir hale geliyor?
Doğuhan, yüksek ateşin kontrol altına alınamadığı durumlarda havale riski gerçekten artabilir. Özellikle bebeklerde bu durum daha hassas bir konu. Ateşli havale, genellikle 6 ay ile 5 yaş arasındaki çocuklarda görülür ve ateşin hızlı bir şekilde yükselmesiyle ortaya çıkabilir.
Belirtiler:
- Bebekte ani şuur kaybı
- Kasılma ve titreme hareketleri
- Gözlerin sabit bir noktaya dikilmesi veya gözlerin kayması
- Solunumda geçici duraksama veya hızlı nefes alıp verme
Bu belirtiler görüldüğünde derhal bir sağlık profesyoneline başvurulması önemlidir. Ayrıca ateşin 38°C'yi aştığı durumlarda doktor kontrolü gerekebilir. Bebeklerde ateşin düzenli olarak takip edilmesi ve hızlı müdahale edilmesi, havale riskini minimize etmek için kritik bir öneme sahiptir.