Bademcik İltihabı Kaç Günde Geçer?
Bademcik iltihabı, bademciklerin iltihaplanması sonucu ortaya çıkan bir durumdur. Viral veya bakteriyel enfeksiyonlardan kaynaklanabilir ve boğazda rahatsızlık, ateş gibi belirtilerle kendini gösterir. Tedavi süreci, iltihabın nedenine bağlı olarak değişiklik göstermektedir.
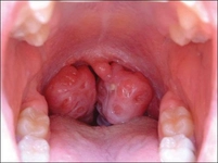
Bademcik İltihabı Nedir?Bademcik iltihabı, bademciklerin (tonsiller) iltihaplanması durumu olarak tanımlanır. Genellikle viral veya bakteriyel enfeksiyonlardan kaynaklanır ve boğazda ağrı, yutkunma güçlüğü ve ateş gibi belirtilerle kendini gösterir. Bademcikler, vücudun bağışıklık sisteminin bir parçası olarak görev yapar ve enfeksiyonlarla savaşmada önemli bir rol oynar. Ancak, aşırı enfeksiyon durumlarında iltihaplanabilirler. Bademcik İltihabının BelirtileriBademcik iltihabı, çeşitli belirtilerle kendini gösterebilir. Bu belirtiler arasında:
Bu belirtiler, bademcik iltihabının ciddiyetine bağlı olarak değişiklik gösterebilir ve bazı durumlarda komplikasyonlara yol açabilir. Bademcik İltihabının NedenleriBademcik iltihabının başlıca nedenleri şunlardır:
Bu nedenler, bireylerin bademcik iltihabına yakalanma riskini artırabilir. Bademcik İltihabının SüresiBademcik iltihabının ne kadar sürede geçtiği, iltihabın nedenine ve tedaviye bağlı olarak değişir. Genel olarak:
Bu nedenle, belirtiler devam ederse veya kötüleşirse, bir sağlık profesyoneline danışmak önemlidir. Bademcik İltihabının TedavisiBademcik iltihabı tedavisi, iltihabın nedenine göre değişiklik gösterir:
Tedavi sürecinde, belirtilerin hafifletilmesi için doktor tavsiyelerine uyulması önemlidir. Ek BilgilerBademcik iltihabı, özellikle çocuklar arasında yaygın bir durumdur. Ancak, her yaş grubundaki bireyleri etkileyebilir. İltihaplanmaların tekrarlamaması için sağlıklı yaşam alışkanlıkları, yeterli beslenme ve hijyen kurallarına dikkat edilmesi önerilir. Ayrıca, bağışıklık sistemini güçlendirmek için düzenli egzersiz yapmak ve stresten uzak durmak faydalıdır. Sonuç olarak, bademcik iltihabı belirtileri gözlemlendiğinde, zamanında müdahale edilmesi ve gerektiğinde tıbbi yardım alınması önemlidir. Bademcik iltihabının süresi ve tedavi yöntemi, bireyler arasında farklılık gösterdiğinden, uzman bir sağlık profesyoneline başvurmak en doğru yaklaşım olacaktır. |













































Bebeklerde boğaz enfeksiyonu belirtileri nelerdir? Özellikle bademcik iltihabı gibi durumlar bebeklerde nasıl gelişir? Bebeğimin boğazı ağrıyor ve yutkunmakta zorlanıyor, ne yapmalıyım? Bu konuda deneyimi olanların önerilerine ihtiyacım var. Teşekkürler!
Bebeklerde Boğaz Enfeksiyonu Belirtileri
Bebeklerde boğaz enfeksiyonu belirtileri genellikle yüksek ateş, huzursuzluk, boğazda ağrı, yutkunma güçlüğü ve iştah kaybı şeklinde kendini gösterir. Ayrıca, bebeğinizin salya akıtması veya sık sık ağlaması gibi durumlar da gözlemlenebilir.
Bademcik İltihabı Gelişimi
Bademcik iltihabı, genellikle viral veya bakteriyel enfeksiyonlar sonucunda ortaya çıkar. Bebeklerin bağışıklık sistemleri henüz tam gelişmediği için bu tür enfeksiyonlara daha yatkındırlar. Özellikle soğuk algınlığı veya grip gibi üst solunum yolu enfeksiyonları bademcik iltihabına zemin hazırlayabilir.
Bebeğinizin Boğaz Ağrısı ve Yutkunma Güçlüğü Durumunda Ne Yapmalısınız?
Bebeğinizin boğazı ağrıyorsa ve yutkunmakta zorlanıyorsa, öncelikle bir çocuk doktoruna başvurmanız önemlidir. Doktor, gerekli muayeneleri yaparak doğru tanıyı koyabilir. Ayrıca, bebeğinizi bol sıvı ile desteklemek, ortamın nem seviyesini artırmak ve gerekirse doktorun önerdiği ağrı kesicileri kullanmak faydalı olabilir.
Bu süreçte, diğer ebeveynlerin deneyimlerinden de yararlanmak isteyebilirsiniz. Ancak, her bebek farklıdır ve en güvenilir yol her zaman bir sağlık uzmanına danışmaktır. Geçmiş olsun!
Bademcik ameliyatı sonrası iyileşme süreci kişiden kişiye değişiyor. Genellikle 7-10 gün içinde kendinizi daha iyi hissetmeye başlarsınız. Ancak tam iyileşme için 2-3 hafta geçmesi gerekebilir. Bu süreçte doktorun önerilerine uymak önemli.
Bademcik Ameliyatı Sonrası İyileşme Süreci
Yalkın, bahsettiğin gibi bademcik ameliyatı sonrası iyileşme süreci kişiden kişiye değişebiliyor. Genellikle 7-10 gün içinde kendimizi daha iyi hissetmeye başlasak da, tam anlamıyla iyileşmek için 2-3 hafta beklemek gerekebiliyor. Bu süreçte, özellikle doktorun önerilerine uymak oldukça önemli.
İyileşme Sürecinde Dikkat Edilmesi Gerekenler
İyileşme sürecinde bol sıvı tüketimi, yumuşak gıdalarla beslenme ve dinlenme ön planda olmalı. Ayrıca, ağrı kesici kullanımı konusunda doktorun tavsiyelerine uymak da rahatlamanıza yardımcı olacaktır.
Sonuç Olarak
Her ne kadar sürecin zorlu geçebileceği bilinse de, sabırlı olmak ve doktor talimatlarına harfiyen uymak, iyileşme sürecini hızlandıracaktır. Geçmiş olsun dileklerimi iletiyorum.
Bademcik iltihabı geçirdiğimde, 4-5 günde iyileşmiştim ama bazıları 7-10 gün sürebiliyor. Bu durumun kişiden kişiye değiştiğini öğrendim. Özellikle dinlenmek ve bol su içmek önemliymiş. Bademcik iltihabının ne kadar sürede geçtiğini merak edenler için bu bilgiler faydalı olabilir.
Muine,
Bademcik İltihabı Süreçleri hakkında paylaştığın deneyim ve gözlemler oldukça değerli. Her bireyin bağışıklık sistemi ve genel sağlık durumu farklı olduğu için, bademcik iltihabının iyileşme süresi de kişiden kişiye değişebiliyor. Senin 4-5 günde iyileşmen, sağlıklı bir bağışıklık yanıtı gösteriyor.
DİNLENME VE SU TÜKETİMİ konusuna gelince, dinlenmek vücudun kendini onarması için kritik öneme sahip. Bol su içmek de boğazın nemli kalmasına yardımcı olur ve iyileşme sürecini hızlandırabilir. Bu bilgilerin, benzer bir durumu yaşayanlar için faydalı olacağını düşünüyorum. Umarım, bu tür sağlık sorunlarıyla bir daha karşılaşmazsın. Geçmiş olsun dileklerimi iletiyorum!
Bademcik iltihabı konusunda yaşadıklarım beni oldukça endişelendiriyor. Şu an 3. günüm ve hala boğazımda ağrı hissediyorum. Bu durumun normal olduğunu söyleyebilir miyiz? Genellikle belirtilerin 4-5 günde geçmesi beklenirken, benim için bu süre biraz uzun gibi. Antibiyotik kullanmadan geçirme yolları arıyorum fakat etkili bir çözüm bulmakta zorlanıyorum. Sıcak içecekler, bol su içmek ve dinlenmek gibi önerileri deniyorum ama yine de tam bir rahatlama hissedemedim. Acaba bu durum benim bağışıklık sistemimle ilgili bir sorun mu, yoksa daha uzun bir iyileşme süreci mi beklemeliyim? Başka bitkisel çözümler ya da yöntemler denememi önerir misiniz?
Merhaba Ezra,
Bademcik İltihabı ve İyileşme Süreci hakkında yaşadıkların elbette endişe verici olabilir. Bademcik iltihabı genellikle 4-5 günde geçmesi beklenen bir durumdur; ancak her bireyin iyileşme süreci farklılık gösterebilir. Bazı insanlar için belirtiler daha uzun sürebilir ve bu da bağışıklık sisteminin genel durumu, yaş, beslenme ve stres gibi faktörlere bağlıdır.
Antibiyotik Kullanımı konusunda, eğer belirtilerin şiddeti artıyorsa veya başka semptomlar ekleniyorsa, bir sağlık profesyoneline danışmak önemli olacaktır. Ancak, antibiyotik kullanmadan doğal yollarla iyileşme arayışındaysan, bazı bitkisel çözümler deneyebilirsin. Örneğin, zencefil ve bal karışımı boğaz ağrısını hafifletebilir. Ayrıca, ıhlamur veya papatya çayı gibi sıcak içecekler de rahatlatıcı olabilir.
Bol Sıvı Tüketimi ve dinlenme konusunu zaten uyguladığını belirtmişsin; bu çok önemli. Bunun yanında, günde birkaç kez tuzlu su ile gargara yapmak da boğazdaki rahatsızlığı azaltabilir.
Eğer belirtilerin devam ederse ya da kötüleşirse, mutlaka bir doktora görünmeni öneririm. Sağlığın her şeyden öncelikli olmalı. Geçmiş olsun dileklerimle, umarım en kısa sürede kendini daha iyi hissedersin!
Bademcik iltihabı kaç günde geçer? Benim de 3. günüm ve hala boğaz ağrısı yaşıyorum, normal mi? Ayrıca antibiyotik kullanmadan geçirme yolları var mı?
Bedia hanım,
Bademcik iltihabının süresi: Bademcik iltihabı genellikle 7-10 gün içinde iyileşir. Ancak, belirtilerin şiddeti ve süresi kişiden kişiye değişebilir. 3. günde hala boğaz ağrısı yaşamanız normaldir.
Doğal yöntemler: Antibiyotik kullanmadan bademcik iltihabının belirtilerini hafifletmek için şu yöntemleri deneyebilirsiniz:
- Tuzlu su ile gargara yapmak
- Bal ve limon ile çay içmek
- Bol sıvı tüketmek
- Yüksek yastık kullanarak uyumak
- Dinlenmek
Ancak, belirtileriniz devam ederse veya şiddetlenirse bir doktora başvurmanızda fayda var. Geçmiş olsun.